Here for you and yours around the clock, because sometimes help is needed "after hours."

field services

Pre-Purchase exams

Preventative care is key to keeping your horses healthy and minimizing costly treatments. From vaccinations to diet and deworming, we want to help you keep your horse healthy and happy.

From insect hypersensitivity and rainrot to ringworm and summer sores. Skin conditions can cause our horses discomfort, be contagious to our other horses, or carry zoonotic potential.

Call today to schedule your appointment

endoscopic upper airway exam

lameness

Avoid the stress of trailering your horse - call us today and we will come to you. Over the state line? No problem, we are licensed in SC, GA, and NC!

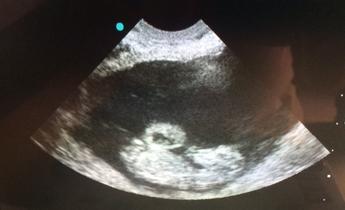
The most advanced form of radiographic imaging available. Whether it is for an emergency situation or pre-purchase exam,  you will be  pleased with the quality, efficiency, and ease of digital imaging. Digital ultrasound is also available for analyzing soft tissue injuries or for reproductive evaluations.

dermatology

864.940.2253

Herd health and wellness


Horse's may also be aged by their teeth. Ask Dr. Garrison about the art of aging at your next visit!

emergency

dentistry

Sometimes a lameness is obvious and easy to correct, but they can be difficult to isolate and may move from limb to limb. A complete lameness examination may include diagnostic blocks to determine the location, gather a diagnosis, and develop a rehabilitation plan to get your horse back under the saddle and sound.

digital radiology and ultrasound

  Surgery

Expediency in eye treatment is crucial to maintaining vision and optimal ocular health. Squinting and excessive tearing may be early signs of a serious problem that should not be ignored.

ophthalmology

Minor surgeries may be done in the field or at our clinic for post-op monitoring. Call today and if we can't perform the necessary procedure, we can help you find a referral hospital.

Before you purchase a horse it is always recommended to have a pre-purchase exam done first! Our comprehensive evaluation will provide you with insight on possible medical and lameness issues to help during the decision making process of an impending purchase.

Garrison Equine Veterinary Care, LLC

The use of an endoscope can be helpful for pre-purchase exams, to evaluate the severity of a "roarer,"  to locate the source of a nasal discharge, or to check for other upper airway abnormalities.

Did you realize a horse's teeth continue to erupt as they age until they expire? This makes dentistry an important part of their routine health care. Our combination of manual (hand) floats plus powerfloating allows for even the hardest to reach points, hooks, or ramps to be taken care of to provide immediate relief for your horse.





Anderson, SC horse vet